Xoran and Fiagon NA announce 0.5 mm registration accuracy with Fiagon Navigation when scanning with Xoran’s new MiniCAT 2020—a sinus-optimized…
ANN ARBOR, Michigan, July 20, 2018 /PRNewswire/ — Xoran Technologies the pioneer and U.S. medical market leader in point-of-care…
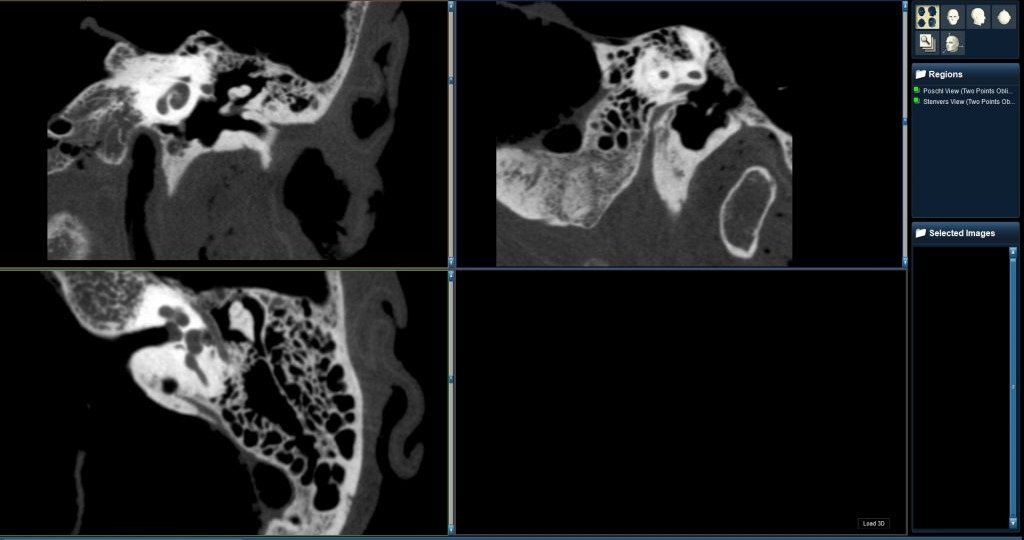
A team of surgeons used Xoran’s new xCAT XL for a cochlear implant surgery, repairing A RARE congenital malformation of…
Xoran Technologies and Fiagon AG Medical Technologies have agreed to expand their existing relationship and to collaborate in the Neuro…
Fuel Medical can help you purchase your MiniCAT at 0% interest on a 3-7 year term Fuel Medical creates…
Title: Xoran Offers IAC Accreditation Delay Assistance With your delay assistance, Xoran experts will: Review your delay letter line-by-line ……
Does your CT vendor specialize in ENT and offer functions you need for your medical practice? Xoran does. (Other CT…
Does your CT vendor include a PACS system that is designed specifically for you? Xoran does. (With today’s concerns about…
Xoran is your one-stop shop for all your CT needs—Xoran certified engineers specialize in ENT CT support and personally service…

